Our Services
We offer a wide range of in vitro assays on human cells, reconstructed models, and human skin explants, providing our clients with reliable and efficient testing services to evaluate the safety, efficacy, and biological properties of your cosmetics and cosmeceuticals.

Efficacy, Safety, and Stability of Your Ingredients
Cellular and Tissue Assays
Eighty (80) Skin Gene Activation/Inhibition Assay
Eye Irritation (OECD TG 492)
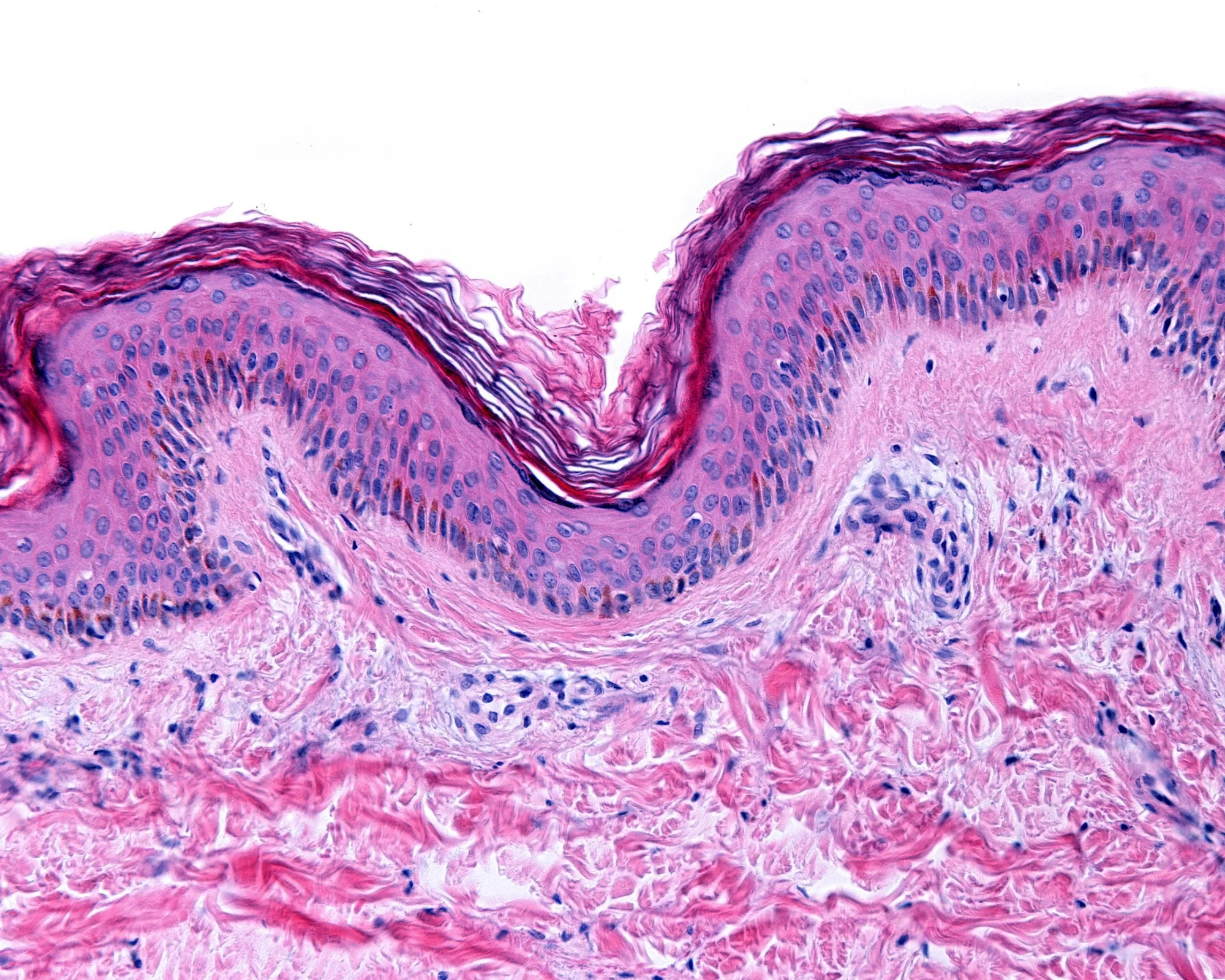
Skin Irritation (OECD TG 439)
Skin Corrosion (OECD TG 431)
Wound Healing
Anti-Aging
Skin Whitening
Pigmentation Studies
Skin Hydration
Anti-inflammatory activity
Custom Assays
CONTACT US
Ultimately, your field of activity is ours. Contact us to discuss your project and see how TransBIOTech can accelerate it!
Cosmetics / Cosmeceuticals
Your TEAM in
Cosmetics / Cosmeceuticals

Julie de Grandmont
Laboratory Technician - Analytical Chemistry, Certificate in Biotechnologies


















